![]()
Post spinal meningitis with subdural collection: an uncommon complication after spinal anaesthesia for caesarean section
Seng Wee Cheo 1,*, Qin Jian Low 2, Yee Ann Tan 3 and Yuen Kang Chia 3
1 Department of Internal Medicine, Hospital Lahad Datu, Sabah, Malaysia.
2 Department of Internal Medicine, Hospital Sultanah Nora Ismail, Johor, Malaysia.
3 Neurology Unit, Hospital Queen Elizabeth, Sabah, Malaysia.
* Correspondence: cheosengwee@gmail.com; Tel.: +6017-715-0795
Received: 26 September 2018; Accepted: 19 October 2018; Published: 24 October 2018
Edited by: Kheng Seang Lim (University of Malaya, Malaysia); King-Hwa Ling (Universiti Putra Malaysia)
Reviewed by: Irene Looi (Hospital Seberang Jaya, Penang, Malaysia);
Tsun Haw Toh (University of Malaya, Malaysia)
https://doi.org/10.31117/neuroscirn.v1i2.18
Abstract: Meningitis after spinal anaesthesia is a rare yet devastating complication of spinal anaesthesia. The exact incidence is unknown. Our patient developed signs and symptoms of meningitis 48 hours after spinal anaesthesia and required intensive care unit admission. Her cerebrospinal fluid was sterile. Computed tomography of brain showed left subdural collection. She recovered well after 6 weeks of intravenous antibiotics. No neurological sequela noted from subsequent follow-up examinations. Our case provides an important insight of meningitis with subdural collection after spinal anaesthesia for emergency caesarean section.
Keywords: meningitis; spinal anaesthesia; subdural collection;
©2018 by Cheo et al for use and distribution in accord with the Creative Commons Attribution (CC BY-NC 4.0) license (https://creativecommons.org/licenses/by-nc/4.0/), which permits unrestricted non-commercial use, distribution, and reproduction in any medium, provided the original author and source are credited.
Post spinal meningitis is a rare but potentially life-threatening complication following spinal anaesthesia. In most instances, the presentation is typically acute, 24-48 hours after procedure. The exact incidence is unknown. Several retrospective studies estimated the incidence to be around 0.04%. Meningitis after spinal anaesthesia usually occurs due to breach in aseptic technique or hematogenous spread of bacteraemia during procedure. Here, we reported a case of post spinal meningitis with subdural collection following spinal anaesthesia.
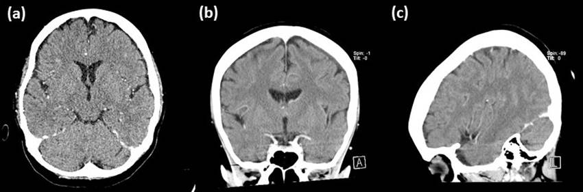
A 31-year-old lady, gravida 3 para 2 at 34 weeks of gestation with twin pregnancy initially presented with labour pain. Antenatally, this was an uneventful pregnancy. Cardiotocography (CTG) at presentation was reactive for twin 1. CTG for twin 2 showed poor beat to beat variation with no acceleration. She was then posted for emergency lower segment caesarean section (LSCS) for foetal distress. She was given intravenous ampicillin-sulbactam 1.5g as prophylactic antibiotic. Skin disinfection was done under aseptic technique. Subarachnoid block was done at L3 level after 2 attempts. Intrathecal fentanyl 15mg and 1.9ml of bupivacaine 0.5% were given. Five minutes post spinal anaesthesia, patient developed high spinal symptoms with sudden onset back pain and shoulder numbness. She was resuscitated with intravenous ephedrine, phenylephedrine and fluid. The patient subsequently responded and managed to go through the surgery. On post operation day 2, patient complained of severe headache, associated with neck stiffness and fever. There was no cough, no diarrhoea, no vomiting or dysuria. Her level of consciousness was normal. Upon examination, the blood pressure was 108/60mmHg, pulse rate was 98 beats per minute and temperature was 40oC. Full blood count indicated haemoglobin level was 8.6g/dl, white blood cell count was 12.9x109/L and platelet count was 291x109/L. Renal profile was normal. Bicarbonate level was 11.9mmol/L (Table 1). She was then admitted to intensive care unit and intubated for respiratory distress. At the same time, she was given intravenous 2g of meropenem three times a day for suspected post spinal meningitis. Subsequently, she undergone contrast enhanced computed tomography of the brain which showed meningeal enhancement with left fronto-parietal subdural collection with maximum thickness of 5mm (Figure 1). We then performed a spinal tap on the following day. No cells were seen during CSF examination, total protein level was 0.21g/dl and glucose ratio was normal. Both CSF cultures and latex agglutination test were negative. She was then treated with 6 weeks of intravenous ceftriaxone 2g twice daily. Interval CT scan of brain showed marked improvement (Figure 2). Eventually, she recovered.
Spinal anaesthesia has been widely practised in recent years for caesarean section [1]. Complications of spinal anaesthesia include post dural puncture headache, arterial hypotension, local bleeding and nerve roots injury [2]. Serious complications such as subdural hematoma and meningitis have also been reported [3]. Post spinal meningitis is uncommon but it is potentially devastating. Some patients even if recover will live with neurological deficits [4]. The exact incidence of post spinal meningitis is unknown [1]. In a retrospective study, it was estimated to be around 0.04%.
Table 1: Investigation chart of the patient
|
Parameters |
Results |
Unit |
Normal Range |
|
Haemoglobin |
8.6 |
g/dL |
13-18 |
|
Total White Blood Cell |
12.9 |
109/L |
4-10 |
|
Platelet |
291 |
109/L |
150-400 |
|
Sodium |
129.5 |
mmol/L |
135-145 |
|
Potassium |
3.3 |
mmol/L |
3.5-5 |
|
Urea |
3.4 |
mmol/L |
2.8-7.8 |
|
Creatinine |
48 |
μmol/L |
90-110 |
|
ALT |
35 |
U/L |
<40 |
|
Bicarbonate |
11.9 |
mmol/L |
22-28 |
|
Blood Culture |
No growth |
|
|
|
CSF AFB/Gram stain |
Negative |
|
|
|
CSF Culture |
No growth |
|
|
|
CSF Glucose ratio |
0.55 |
|
|
|
CSF Protein |
0.21 |
g/dL |
0.15-0.45 |
|
CSF TB PCR |
Negative |
|
|
|
CSF Cryptococal antigen |
Negative |
|
|
Our patient undergone caesarean section for foetal distress. She complained of severe headache associated with fever and neck stiffness post op day 2. In this clinical context, the differential diagnosis to be considered include post dural puncture headache (PDPH), post spinal meningitis or post spinal subdural hematoma. In our patient, PDPH is less likely as PDPH usually does not present with high fever and neck stiffness. PDPH patient will not appear septic.
Post spinal subdural hematoma (SDH) is another differential diagnosis. SDH is presumed to occur due to reduced intracranial pressure following cerebrospinal fluid (CSF) loss, causing decompression of brain leading to rupture of fragile bridging veins [5]. In our patient, the point against this diagnosis is the measured Hounsfield Unit is not suggestive of hematoma and SDH usually does not present with sepsis syndrome.

Figure 1: Pre-treatment computed tomography showing left subdural collection. (a) axial view, (b) coronal view and (c) sagittal view.

Figure 2: Interval computed tomography 2 weeks after treatment showing marked improvement of left subdural collection. (a) axial view, (b) coronal view and (c) sagittal view.
We think our patient had post spinal meningitis with subdural collection because she presented with sepsis syndrome post operatively that required ICU admission. Computed tomography of brain supported the diagnosis of subdural collection and she responded well to antibiotic therapy. Her CSF appeared sterile probably due to prior administration of antibiotic a day before the lumbar puncture.
Post spinal meningitis can be broadly divided into chemical or infective in origin [6]. The differentiation is difficult, and its aetiology is still very much debatable. Failure of aseptic technique could result in introduction of exogenous organisms into the cerebrospinal fluid. Besides, hematogenous spread of infection with micro bleeding during spinal anaesthesia could be another possibility. In bacteraemia patient, dural puncture may facilitate entrance of bacteria into CSF [7]. Droplets infection could be another possible route of infection [8]. Commensals of oral and respiratory tract such as Strepcoccus spp are the frequent causative organism in post spinal meningitis [9].
Post spinal meningitis should be suspected in patients with spinal headache, convulsions, high grade fever and altered sensorium [10]. Other clinical features include nuchal rigidity, coma, neurological deficits and photophobia. Blood culture and CSF examination is mandatory if such diagnosis was suspected [11]. Brain imaging must be done to look for complication of meningitis such as hydrocephalus or subdural collection such as in the reported patient.
The treatment of post spinal meningitis does not differ much from the typical treatment for meningitis. It includes early empirical broad-spectrum antibiotics [12] and subsequent de-escalation based on cultures and sensitivity profile. A longer treatment is needed for complicated infection. In our patient, she was treated with 6 weeks of intravenous antibiotics in view of the presence of subdural collection.
For prevention of post spinal meningitis, strict aseptic technique during procedure is warranted to reduce such incidence. Surgical mask should be worn during administration of regional anaesthesia [13]. In addition, other important aseptic techniques such as preprocedural handwashing with antiseptic solution, application of skin disinfectant, maintenance of sterile field and proper sterile draping technique must be observed [14]. Local authorities should also raise the awareness of strict adherence to aseptic technique among health care providers.
Our case illustrated a rare complication of spinal anaesthesia which can be potentially life-threatening. It is therefore pivotal for clinicians to properly evaluate patient with fever and headache post spinal anaesthesia. Early treatment is important for treatment of meningitis. Full aseptic technique is essential while performing the procedure to prevent the occurrence of meningitis.
Consents: Written informed consent was obtained from the patient prior to publish the case. A copy of the written consent is available for review by the Editor-in-Chief of the journal.
Acknowledgements: The authors would like to thank the Director General of Health Malaysia for approval to publish this paper.
Author Contributions: S.W.C., Q.J.L. and Y.A.T. drafted the paper. Y.K.C. critically revised the article.
Conflicts of Interest: The authors declare no conflict of interest.
References
1. Hashemi R, Okazi A. Iatrogenic meningitis after spinal anesthesia. Acta Medica Iranica. 2008;46(5):434-436.
2. Lambert DH. Complications of spinal anesthesia. Int Anesthesiol Clin. 1989;27(1):51-55.
3. Schweiger V, Zanconato G, Lonati G, Baggio S, Gottin L, Polati E. Intracranial subdural hematoma after spinal anesthesia for cesarean section. Case Rep Obstet Gynecol. 2013;2013:253408. https://doi.org/10.1155/2013/253408
4. Burke D, Wildsmith JA. Meningitis after spinal anaesthesia. Br J Anaesth. 1997;78(6):635-636. https://www.ncbi.nlm.nih.gov/pubmed/9215011
5. Srivastava U, Agrawal A, Gupta A, Dwivedi Y. Intracranial subdural hematoma after spinal anesthesia for cesarean section: Case report and review of literature. advbioresnet. 2014;4(1):45-47. https://doi.org/10.4103/2249-4472.132826
6. Lee JJ, Parry H. Bacterial meningitis following spinal anaesthesia for caesarean section. Br J Anaesth. 1991;66(3):383-386. https://www.ncbi.nlm.nih.gov/pubmed/2015156
7. Singh J, Kazal S, Kapoor D. Bupivacaine induced aseptic meningitis following subarachnoid block. Anaesth Pain & Intensive Care. 2015;19(1):65-67.
8. Govardhane BT, Jambotkar TC, Magar JS. Meningitis following spinal anesthesia. Med J DY Patil Univ. 2015;8:513-514. https://doi.org/10.4103/0975-2870.160818
9. Gherardi S, Sher S, Monzani R. Case Report: A Case of Meningitis of Undetermined Origin Following Spinal Anaesthesia. Ambul Surg. 2008;14(3):60-61.
10. Videira R, Ruiz-Neto PP, Brandao Neto M. Post spinal meningitis and asepsis. Acta Anaesthesiol Scand. 2002;46(6):639-646. https://doi.org/10.1034/j.1399-6576.2002.460602.x
11. Baer ET. Post-dural puncture bacterial meningitis. Anesthesiology. 2006;105(2):381-393. https://www.ncbi.nlm.nih.gov/pubmed/16871073
12. Doghmi N, Meskine A, Benakroute A, Bensghir M, Baite A, Haimeur C. Aseptic meningitis following a bupivacaine spinal anesthesia. Pan Afr Med J. 2017;27:192. https://doi.org/10.11604/pamj.2017.27.192.9327
13. Hebl JR. The importance and implications of aseptic techniques during regional anesthesia. Reg Anesth Pain Med. 2006;31(4):311-323. https://doi.org/10.1016/j.rapm.2006.04.004
14. Fijter S, DiOrio M, Carmean J, Schaffzin J. Bacterial meningitis after intrapartum spinal anesthesia-New York and Ohio, 2008-2009. MMWR Morb Mortal Wkly Rep. 2010;59(3):65-69. https://www.ncbi.nlm.nih.gov/pubmed/20110933